동물병원 All Pets VWorld 지도 이미지

동물병원 All Pets 107명이 열람하였으며, 0개의 리뷰가 있습니다.

번호
6,652
개방서비스명
동물병원
개방서비스아이디
02_03_01_P
개방자치단체코드
4,201,000
관리번호
420,100,001,020,250,002
인허가일자
2025-02-03
영업상태구분코드
1
영업상태명
영업/정상
상세영업상태코드
0
상세영업상태명
정상
소재지전화
033-661-0045
소재지전체주소
강원특별자치도 강릉시 주문진읍 교항리 1182-3 동물병원
도로명전체주소
강원특별자치도 강릉시 주문진읍 매맥이아랫길 30-4
도로명우편번호
25,423
사업장명
동물병원 All Pets
최종수정시점
2025-02-10 15:18:26
데이터갱신구분
U
데이터갱신일자
2025-02-12 02:40:00
좌표정보(X)
0
좌표정보(Y)
0
업무구분명
동물병원
권리주체일련번호
0
총직원수
0

블로그 리뷰

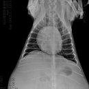
  • 동물병원 All Pets | 심각한 외이도염(귓병) 치료 - 동물병원 All Pets에서 가능합니다.

    주고 있답니다. ​ 외이도염 치료가 되지 않는 아이라면 저희 "동물병원 All Pets"에서 진료를 받으세요. 98% 이상 완치율을 보장합니다. ​ 저희 "동물병원 All Pets"는 강원도 강릉시 주문진읍 매맥이 아랫길 30-4에 위치합니다. ​ ​ 아래 사진은 몇년 전 어느 병원에서 젭스 수술을 한 아이라고 합니다. 코카스파니엘 품종...

    오산 25시종합동물병원(2025-05-23 10:52:00)

  • 동물병원 All Pets | 어쩌나…" 독거노인의 반려견이 위태롭다Solitary Elderly's Pets Struggle as Owners Age and Pass Away

    강원도 강릉에 혼자 살던 80대 남성 A씨가 지난해 12월 자택에서 숨을 거뒀다. 엄밀히 말해 혼자는 아니었다. 열 살짜리 요크셔테리어 반려견 초롱이가 있었다...10~20일 안에 새 주인을 찾지 못하면 안락사될 운명. 다행히 소식을 접한 동물 구호 단체에 구조됐으니 운이 좋았다. 팅커벨프로젝트 황동열 대표는 “반려...

    21세기 영어교육연구회(21st C.E.T.A.)(2026-04-12 15:48:00)

  • 동물병원 All Pets | 5개월아기 일상 (2) : 아기 독서, 아람북스 베이비올, 아기 여권사진, 픽미, 배밀이 시작, 디자인스킨...

    모노그램 강릉 2박 3일 호캉스 + 수영장 + 조식 + 식당/카페 후기 마카오를 ... blog.naver.com +++ 해외여행(마카오) +++ ​ 5개월아기랑 마카오 3박4일 호캉스 여행 : 대한항공 베시넷 / 마카오 그랜드리스보아팰리스 / 미슐랭 3스타 제이드드래곤 / 디에잇 메뉴 추천 / 돌전 아기 해외여행 준비물 5개월 아기랑 마카오...

    House of Ellie(2025-11-20 19:57:00)

  • 동물병원 All Pets | #바투카다워크샵 #호레이 #북무드등 #연극보도지침 #환생동물학교 #강릉감자옹심이치즈빵 #쿠우쿠우신메뉴

    노래방 병원 약국이 모두 다 우리집세권(?)이었으면 좋겠다 ​ ​ ​ ​ 여기.진짜.맛있는.초밥. 따로 포스팅해야지 너무맛있어서 저녁에 먹고 다음날 아점으로 또감 꿈에서 밴드를 했음 샷건 밴드 ​ ㅜ 난 이런.. 터무니없는게 너무 웃겨 투썸플레이스 신상 케이크라는 고구마생크림케이크 ^^ 진짜 꽝.꽝.얼린거 주심 나 시간...

    웰컴투 시간여행 코코아 기록장(2025-09-01 23:31:00)

  • 동물병원 All Pets | SL 호텔 강릉: 주문진 오션뷰 가성비 호텔! (해돋이, BTS 버정 인접)

    일부 후기에서 복도 및 옆 객실 소음, 외부 차량 소리 등 방음이 잘 되지 않는다는 지적이 있습니다. 소음에 민감하다면 귀마개 등을 준비하는 것이 좋습니다. 일회용품 미제공: 환경보호 정책에 따라 객실 내 칫솔, 치약, 면도기, 샤워캡, 빗 등 일회용품은 비치되어 있지 않습니다. 1층 로비 자판기나 외부 편의점에서...

    더작은거인(2025-05-21 15:13:04)

  • 동물병원 All Pets | 중1 _ 2회 2009년 영어듣기평가

    저는 강릉에서 태어났습니다, but I live in Suwon now. 하지만 저는 지금 수원에 살고 있습니다. I'm in the first grade at Nuri Middle School. 저는 누리중학교 1학년입니다. I like drawing cartoons, 저는 만화 그리는 것을 좋아합니다, so I want to be a cartoonist. 그래서 만화가가 되고 싶습니다. 4. 대화를...

    꼼꼼영어듣기(2026-04-30 00:41:41)

  • 동물병원 All Pets | 강릉디저트 선물 도넛인사이드도넛 중앙시장근처대형카페

    동물 동반, 무선 인터넷, 포장 🍩 강릉역카페 강릉중앙시장카페 강릉디저트 도넛인사이드도넛 강릉점 돼지런한 일상 짜리 입니다 강릉에 놀러 왔으면 오직 강릉...찾아가는길 및 주차 매장 앞 3대까지 무료 주차 가능합니다. 강릉 고려병원 주차장, 강릉 옥천동 구여성회관 주차장, 카카오 t 강릉 동부시장 주차장에 주차...

    돼지런한 일상(2025-01-08 12:05:00)

  • 동물병원 All Pets | [DATA] 강원도_동물병원 현황 #20250514 업데이트

    교동광장로100번길 8-12, 1층 (교동) 642-7587 강릉시 도그빌동물병원 강원특별자치도 강릉시 명륜로 23-1 (교동) 645-2289 강릉시 동물병원 All Pets 강원특별자치도 강릉시 주문진읍 매맥이아랫길 30-4 033-661-0045 강릉시 민해동물병원 강원특별자치도 강릉시 회산로 276, 2층 (회산동) 033-646-8964 강릉시 바른...

    젤리군의 관심사(2025-08-11 20:03:20)

  • 동물병원 All Pets | 2025 전국 동물병원 주소록, 전화번호부 DB

    수청4길 60, 104∼105호 (수청동) 2025-04-15 24시 케어동물의료센터 053-716-2475 42039 대구광역시 수성구 화랑로 10, 2,3층 (만촌동) 2025-02-03 동물병원 All Pets 033-661-0045 25423 강원특별자치도 강릉시 주문진읍 매맥이아랫길 30-4 2025-01-23 제주24시숨동물의료센터 064-805-8365 63245 제주특별자치도 제주...

    전국 사업자, 업체,업종별, 주소, 전화번호 영업 DB(2025-06-20 07:54:00)

  • 동물병원 All Pets | [25년 2월 1주차] 동물병원 개폐업 현황

    번호 업소명 주소 허가일 개업 현황 1 동물사랑세상 의료센터 경기도 용인시 처인구 중부대로 1294, 3층 311호 (역북동) 2025-02-04 2 동물병원 All Pets 강원특별자치도 강릉시 주문진읍 매맥이아랫길 30-4 2025-02-03 폐업 현황 없음. [25년 1월 5주차] 동물병원 개폐업 현황 안녕하세요. 위캔코퍼레이션 입니다. 이번...

    위캔코퍼레이션(2025-02-15 09:00:00)

  • 동물병원 All Pets | 강원도 동물병원 위치 알아보기!

    강원특별자치도 강릉시 옥가로 22 (옥천동) 646-8841 강릉축협동물병원 강원특별자치도 강릉시 용지로 20 (입암동) 645-2101 동물병원 All Pets 강원특별자치도 강릉시 주문진읍 매맥이아랫길 30-4 033-661-0045 중앙동물병원 강원특별자치도 강릉시 주문진읍 연주로 308-1 하슬라동물병원 강원특별자치도 강릉시...

    DAILYINFO365(2025-09-02 11:57:33)

  • 동물병원 All Pets | 2025년 2월 개원 동물병원

    동물병원 All Pets 강원특별자치도 강릉시 주문진읍 매맥이아랫길 30-4 김포24시힐동물의료센터 경기도 김포시 김포한강2로 11, 113동 2층 201~203호 (장기동, 수정마을 쌍용예가아파트) 24시이스턴동물의료센터 경기도 남양주시 호평로68번길 26, 무세빌딩 3층 (호평동) 동물사랑세상 의료센터 경기도 용인시 처인구...

    병원 약국 의료기기(2025-03-31 17:39:00)

일별 방문 통계

월별 방문 통계

리뷰 (0)

등록된 리뷰가 없습니다.

관련 지도 선택 및 번역