24시 에피소드 동물 메디컬 센터 지도 이미지

24시 에피소드 동물 메디컬 센터 29명이 열람하였으며, 0개의 리뷰가 있습니다.

번호
2,751
개방서비스명
동물병원
개방서비스아이디
02_03_01_P
개방자치단체코드
3,420,000
관리번호
342,000,001,020,250,001
인허가일자
2025-04-30
영업상태구분코드
1
영업상태명
영업/정상
상세영업상태코드
0
상세영업상태명
정상
소재지전화
50,714,748,057
소재지면적
402
소재지전체주소
대구광역시 동구 신천동 137-4
도로명전체주소
대구광역시 동구 동대구로 425, 1층,2층 (신천동)
도로명우편번호
41,261
사업장명
24시 에피소드 동물 메디컬 센터
최종수정시점
2025-05-30 09:34:19
데이터갱신구분
U
데이터갱신일자
2025-06-01 02:40:00
좌표정보(X)
0
좌표정보(Y)
0
업무구분명
동물병원
권리주체일련번호
0
총직원수
0

블로그 리뷰

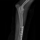
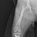
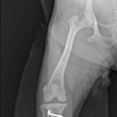
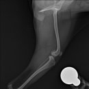
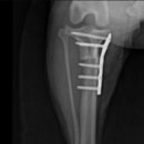
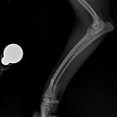
  • 24시 에피소드 동물 메디컬 센터 | 만촌동 동물병원 강아지 요골·척골 골절 수술 후기 [24시에피소드동물메디컬센터]

    만촌동 동물병원 강아지 요골·척골 골절 수술 후기 [24시에피소드동물메디컬센터] 만촌동 동물병원 ​ 안녕하세요. ​ 풍부한 경험과 따듯한 진료를 바탕으로, 반려동물의 건강하고 행복한 하루하루를 함께 만들어 가는 만촌동 동물병원 24시에피소드동물메디컬센터 입니다. 24시에피소드동물메디컬센터 대구광역시 동구...

    에피소드동물메디컬센터(2025-06-26 12:41:00)

  • 24시 에피소드 동물 메디컬 센터 | [창원] 24시 동물병원 유니온동물메디컬센터 고양이 이물 제거 수술 후기

    수술 후 2주가 지난 지금 다행히 건강히 회복을 하여서 !! 기록차 후기를 남겨봅니다 ​ ​ 그날 아침 ... 정말 멀쩡했던 고양이의 모습입니다 잘 먹었고 잘 쌌고 덩...경상남도 창원시 의창구 원이대로56번길 2-35 유니온 동물 메디컬 센터입니다 📍창원 24시 동물 병원 ​ 한글이를 안고 급하게 병원으로 떠납니다 ㅠ 저녁...

    일상기록(2025-10-17 10:57:00)

  • 24시 에피소드 동물 메디컬 센터 | [내돈내산] 동물병원후기 부천동물병원 24시아이동물메디컬센터

    2개가 더생기고 커지면서 미호가 몽우리를 자꾸 핥더라고요! ​ 그때처럼 미호가 많이 아플까 봐 네이버에 부천 동물병원 후기를 검색했어요! ​ 여러 리뷰 후기를 보던 와중에, 24시아이동물메디컬센터로 정했어요! 우선 전화 문의로 미호 상태를 알려드리고 방문했어요. ​ 원종동에 위치한 24시아이동물메디컬센터 ! ​ ​ 전화...

    쪼뇽로그(2025-09-22 17:45:00)

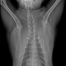
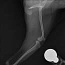
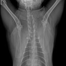
  • 24시 에피소드 동물 메디컬 센터 | 대구 동구 에피소드 동물병원 슬개골탈구 3기 수술 내돈내산 후기(2)

    24시에피소드동물메디컬센터 대구광역시 동구 동대구로 425 지하1층, 지상1층, 2층 ​ 우리 토리가 슬개골탈구 3기 진단을 받고 에피소드동물병원에서 수술한 지도 어느덧 한 달. 지난번 수술 후기를 남기고 한 달 차 검진을 다녀왔어요. ​ 한 달 동안의 회복 과정, 병원 방문 후기, 그리고 수술 후 관리에 대해 솔직하게...

    몽베리 Mongberry(2025-07-27 11:51:00)

  • 24시 에피소드 동물 메디컬 센터 | 광주 서구 24시 김승현 외과 동물 메디컬센터 귀 내시경 후기

    오늘은 반려견을 키우는 반려인으로서 강아지가 갑자기 아플 경우, 응급으로 병원을 가야 할 경우에 대해 이야기를 나누어보려고 해요 ​ ​ 24시김승현외과동물메디컬센터 ​ # 주 소 : 광주 남구 대남대로 388 스타빌딩 1층 # 영업시간 : 매일 00:00 ~ 24:00 (연중무휴) # 전 화 : 062-710-7119 # 주 차 장 : 주차장 협소...

    유쌤의 요리조리 맛집 탐험(2025-07-25 17:43:00)

  • 24시 에피소드 동물 메디컬 센터 | 남양주 24시 동물병원 별내 위드힐 동물 메디컬센터 정착 후기

    ​ . . ​ 안녕하시렵니까? 오늘은 저희집 콩주님 정기 검진 겸 병원에 다녀왔습니당 ​ 별내 24시 위드힐 동물 메디컬센터는 4년동안 다니고 있는 동물 병원인데요! 원래 다니던 동네 병원이 있었는데 4년전에 자두를 먹이다가 코코가 자두씨를 삼켜서 주말에 급하게 갈수있는 병원을 찾다가 알게되었어요 . . ㅋㅋ ㅠ ​ 그...

    제이 일지(2025-08-17 00:16:00)

  • 24시 에피소드 동물 메디컬 센터 | 고양이 장중첩 수술 및 치료후기[24시 노아동물메디컬센터 진료케이스]

    ​ 안녕하세요:) 24시 노아동물메디컬센터입니다. ​ 오늘 다룰 케이스는 고양이 장충첩 수술 및 치료후기 입니다. ​ ​ 장중첩 해당 질병은 아래와 같은 문제에 의해 발생합니다. ▼ ​ 분류 상황 설명 기능적인 문제 장염 (바이러스, 기생충, 세균 감염) 장 염증 → 장운동 과다 → 장이 꼬이거나 말려 들어감 만성 설사 지속적...

    광주 노아동물메디컬센터 공식블로그(2025-10-01 16:57:00)

  • 24시 에피소드 동물 메디컬 센터 | 인계동 24시 동물병원 스카이동물메디컬센터 솔직 리뷰

    센터에 방문해보시길 추천드립니다! ​ 사실 방문 안하는게 젤로 좋음(T△T) 우래기들 건강하길 ...💖 ​ 내돈내산 (진료비 + 투약보조제 포함) #인계동동물병원 #스카이동물메디컬센터 #인계동24시동물병원 #24시간동물병원 #수원동물병원 #강아지허리디스크 #강아지MRI #스카이동물병원후기 #반려견응급진료 #인계동추천병원

    ゚:・*・똘먕's로그・:*:・゚(2025-10-21 13:12:00)

  • 24시 에피소드 동물 메디컬 센터 | 인천 송도 24시 동물병원 오케이동물메디컬센터 강아지 건강검진 후기

    ​ 안녕하세요! 오늘은 우리 대장이의 건강검진을 다녀온 송도24시동물병원 후기를 공유하려고 해요. 송도에서 믿을 수 있는 24시 동물병원을 찾으신다면 참고...강아지 소변(마킹) 금지라 꼭 주의해 주세요. ​ 송도24시동물병원 오케이동물메디컬센터 병원은 민생회복 소비쿠폰도 가능한 병원이에요. 진료말고도 줄기...

    효댕이의 맛집탐험(2025-08-10 22:00:00)

  • 24시 에피소드 동물 메디컬 센터 | [대구 에피소드동물병원] 노묘 마고의 스케일링 후기, 고양이스케일링

    사진 24시에피소드동물메디컬센터 053-745-7975 동대구로 425 지하1층, 지상1층, 2층 24시간 진료 주차 가능 - 건물 뒷편 주차장 이용 ​ ​ 병원은 항상 가는 에피소드동물병원에서 스케일링을 했어요! ​ 보보도 여기서 발치도 했고, 스케일링도 2번 했고 소이도 중성화 수술을 여기서 했었어요. ​ 항상 믿고 방문하는 병원...

    iam(2025-06-16 15:08:00)

일별 방문 통계

월별 방문 통계

날씨

리뷰 (0)

등록된 리뷰가 없습니다.